
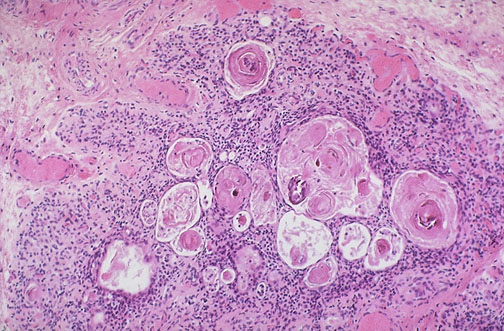
| There are few microscopic findings characteristic for Down syndrome. One seen here in thymus is enlarged cystic Hassall's corpuscles. The depletion of lymphocytes seen here represents the T-cell depletion leading to immunodeficiency that may be present with Down syndrome. |
|