
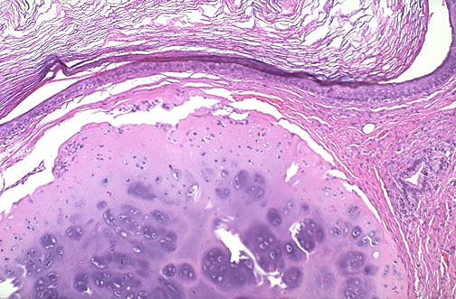
| A teratoma is a neoplasm composed of a jumble of tissues representing the three embryologic germ layers, as represented by skin (ectoderm) at the top, cartilage (mesoderm) at the bottom center left, and a colonic gland (endoderm) at the right in this microscopic view. |
|