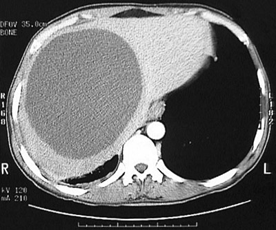
The
large unilocular cyst
seen here in this abdominal CT scan is occupying a large part of the liver. This appearance is consistent with a hydatid cyst of
Echinococcus granulosus
.