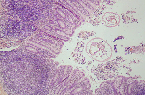
At low magnification can be seen two cross sections of an adult Enterobius vermicularis (pinworm) within the lumen of the appendix.