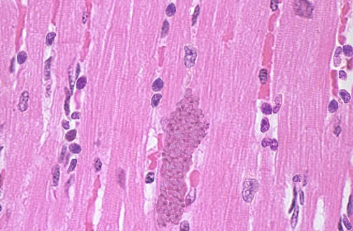
A pseudocyst in the myocardium contains many intracellular amastigotes of Trypanosoma cruzi, along with lymphocytic infiltrates in surrounding tissue.