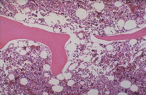
Normal vertebral bone and marrow is demonstrated at low power microscopically. Note the size and number of bone spicules.