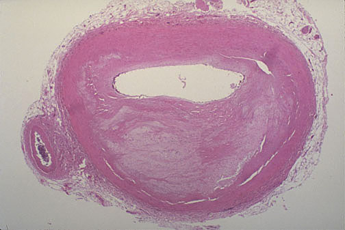
This cross section of coronary artery demonstrates >75% narrowing, which would be associated with angina.