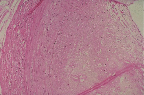
This cross section of coronary artery demonstrates the extent of the intimal plaque at the right above the internal elastic lamina.