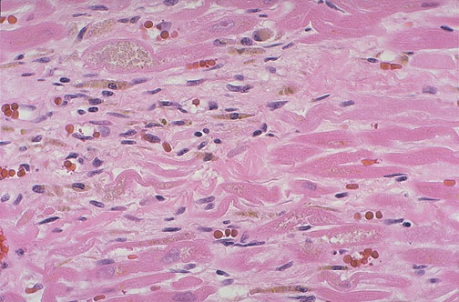
At high power magnification, the myocardium has extensive pale brown hemosiderin deposition with hereditary hemochromatosis.