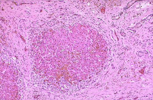
At low magnification, the small nodules of hepatocytes with surrounding fibrosis indicate cirrhosis is present. Note the markedly increased amounts of light brown hemosiderin deposits.