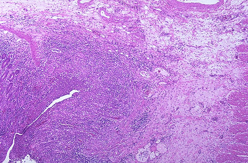
Crohn's disease microscopically at medium power magnification is shown with a deep fissure extending through mucosa to the submucosa. This can result in fistula and/or abscess formation.