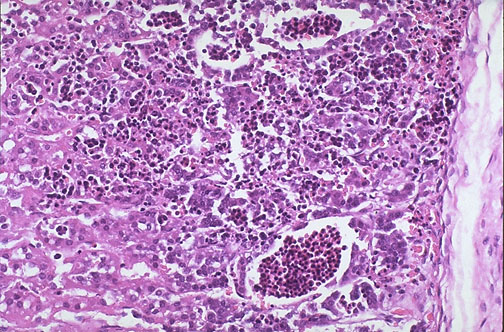
Expansion of erythropoiesis in the fetus with a congenital hemoglobinopathy, in this case alpha thalassemia major, has led to marked extramedullary hematopoiesis. There are numerous RBC precursors in the fetal adrenal gland seen here.