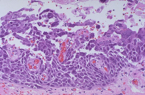
At high power magnification, multinucleated cells in esophageal mucosa from herpes simplex virus ulceration are apparent.