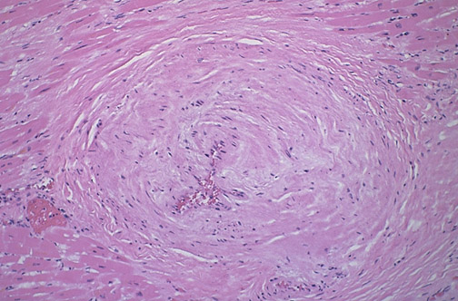
The peripheral coronary artery branch seen here has undergone sclerosis with marked narrowing of the lumen, which will predispose to myocardial ischemia.