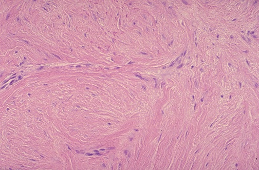
Many bundles of dense pink collagen form the keloid, as seen here microscopically.