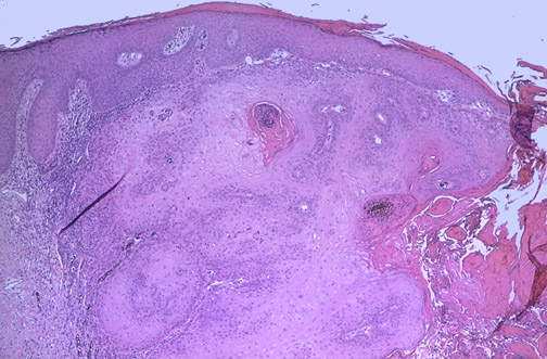
At medium power the excised keratoacanthoma has well-differentiated nests of proliferating squamous epithelium. This lesion may resemble a squamous cell carcinoma, but it is self-limited and will regress in a matter of months.