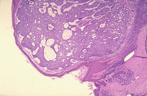
This is the low power microscopic appearance of a basal cell carcinoma. Note the small uniform cells forming a nodular mass, mainly below the epidermis.