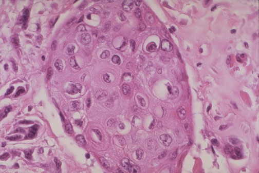
Microscopically, a squamous cell carcinoma is composed of nests of pink polygonal cells with prominent cell borders and hyperchromatic, pleomorphic nuclei.