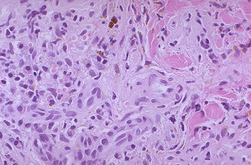
At high magnification, the nodular stage of KS has atypical cells, deposits of brownish hemosiderin, and small pink hyaline globules.