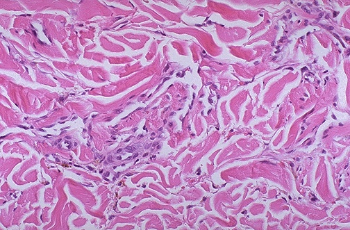
Microscopically, the subtle patch stage of Kaposi's sarcoma appears in the dermis as ill-defined slit-like vascular spaces lined by atypical cells.