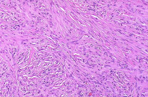
The spindle-shaped fibroblasts forming a dermatofibroma are seen here at high magnification.