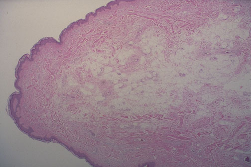
Microscopically, a skin tag has a loose connective tissue center covered by epidermis.