
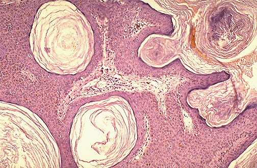
| The seborrheic keratosis consists microscopically of sheets of squamous epithelium in which are embedded "horn cysts" of keratinaceous material. The epithelial cells contain variable amounts of brown melanin pigment, giving the lesion its gross appearance. |
|