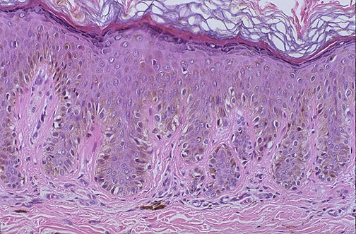
The melanocytic cells of this lesion show atypical features with greater variation in size and shape, as well as increased nuclear pleomorphism.