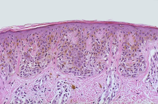
This is a "junctional" nevus because the nests of small uniform cells are found at the dermal-epidermal junction. Note the more intense brown melanin pigment in this nevus.