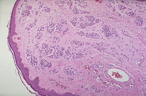
The low power appearance of this nevus reveals that it is composed of nests of small uniform cells without a defined border. Since these cells are confined to the dermis, it is known as an "intradermal" nevus.