
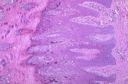
| Here is a verruca vulgaris, or common wart, excised from the hand. This lesion is caused by the papillomavirus. The "warty" rough surface is due to the thick layer of overlying keratin at the far left and the papillomatous pattern of the thickened epidermis, seen here at the left. |
|