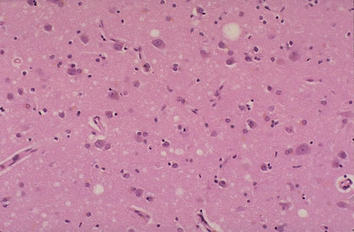
A few small vacuoles are seen in the gray matter of a patient with CJD of rapid onset and short duration.