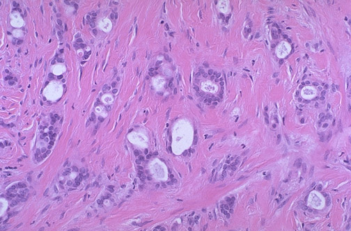
This variant of breast cancer is tubular carcinoma. The neoplastic cells form a single cuboidal layer in small round to teardrop shaped ductules widely spaced in a fibrous stroma. The prognosis tends to be better than for an intraductal carcinoma.