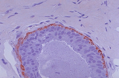
An immunoperoxidase stain with antibody to actin demonstrates the myoepithelial cell layer around the breast acinus. The myoepithelial cells are contractile and are very sensitive to oxytocin.