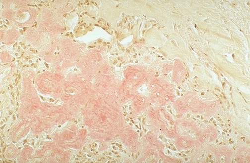
Here the amyloid stroma of the medullary thyroid carcinoma has been stained with Congo red. Medullary carcinomas can be sporadic or familial. The familial kind are associated with multiple endocrine neoplasia syndrome.