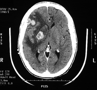
This cerebral CT scan in axial view demonstrates several ring enhancing lesions with surrounding edema that are typical for toxoplasmosis.