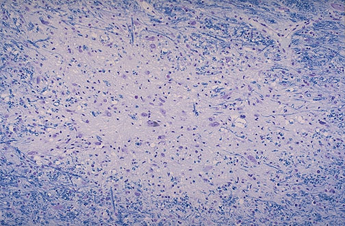
Progressive multifocal leukoencephalopathy (PML) affects oligodendrocytes, and cell lysis results in lesions that demonstrate demyelination, as shown here by the Luxol fast blue (LFB) stain in white matter.