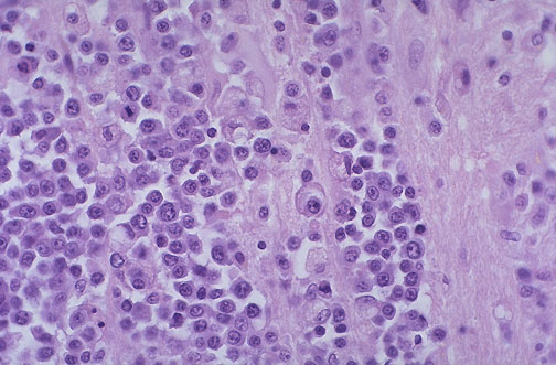
At high magnification, this non-Hodgkin's lymphoma infiltrating the cerebrum is composed of large lymphocytes with occasional mitoses.