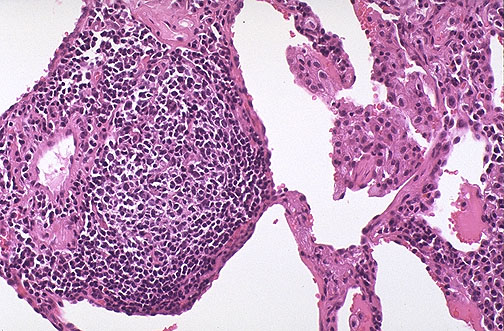
Lymphoid interstitial pneumonitis (LIP) is seen here in lung at high power. The mononuclear cells are not malignant.