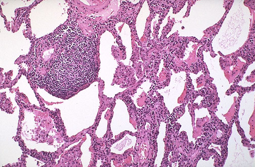
Lymphoid interstitial pneumonitis (LIP) is seen here in lung at medium power. LIP is not seen in adults with AIDS.