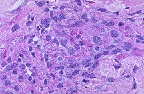
Kaposi's sarcoma characteristically has hyaline globules, as seen here stained with PAS.