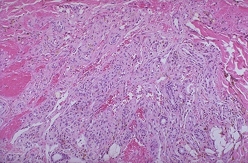
Kaposi's sarcoma microscopically produces slit-like vascular spaces in the dermis of the skin, seen here as a nodule.