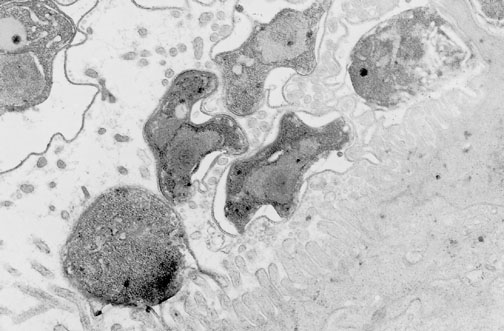
Cryptosporidia are seen along the brush border of the intestinal mucosa in this electron micrograph.