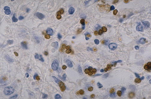
The free tachyzoites of Toxoplasma gondii are difficult to distinguish by H and E staining, so an immunoperoxidase stain can be very helpful. Tachyzoites are seen here in lung.