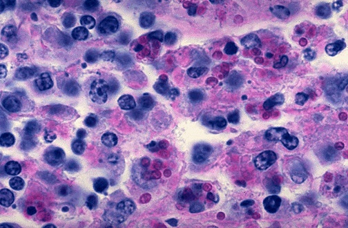
Histoplasma capsulatum organisms in macrophages are seen in liver with PAS stain.