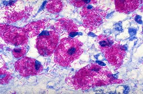
Mycobacterium avium complex (MAC) with acid fast stain often has the characteristic appearance shown here with numerous mycobacteria filling macrophages. Such macrophages may be distributed diffusely or in clusters.