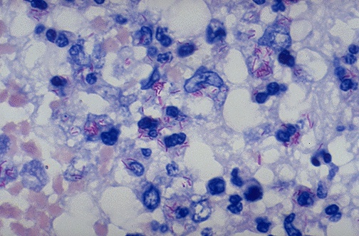
Mycobacterium tuberculosis infection of lung is shown here with numerous red rods seen with acid fast staining.