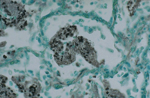
With Gomori methenamine silver stain, Pneumocystis carinii (jirovecii) in lung is demonstrated by the appearance of brown to black cysts in the alveolar exudate.