
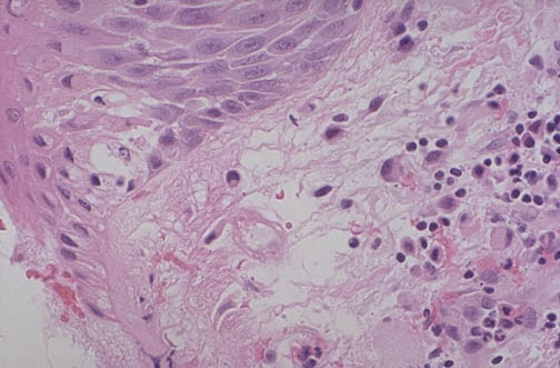
| This is the microscopic appearance of contact dermatitis, with mainly mononuclear dermal inflammatory cell infiltrates and accompanying epidermal spongiosis and dermal edema. Memory T cells migrate to the area and release cytokines to recruit additional inflammatory cells and produce the inflammatory response with local erythema and swelling. |
![]() |