
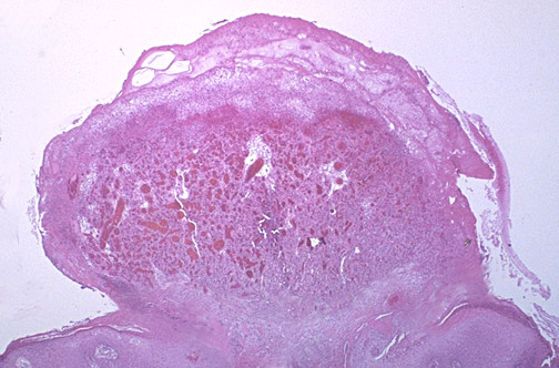
| A pyogenic granuloma is a lesion that can grossly and microscopically resemble a hemangioma, but it arises and may recede in weeks to months, rather than persisting for years unchanging, as a hemangioma. Local inflammation or irritation may result in formation of a nodule of granulation tissue with prominent capillaries, as seen above at low power and below at medium power. Around the capillaries are inflammatory cell infiltrates. |
![]() |