
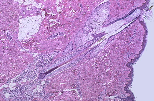
| Here are normal adnexal structures of the skin, which determine so much of how people on earth spend their time and money, as well as social interactions. A hair follicle is seen at the center, with sebaceous glands above and sweat glands and ducts near the base of the hair follicle. |
![]() |