
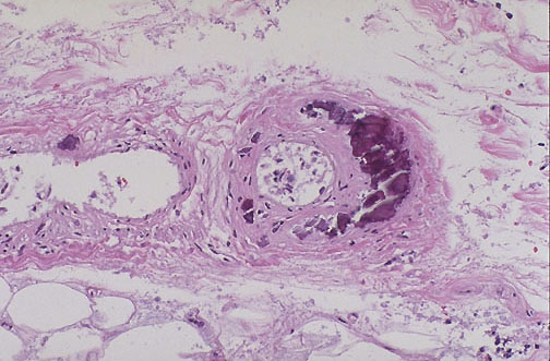
| Microscopically, calciphylaxis is seen here to be characterized by small arterial calcification. The serum calcium levels are not necessarily elevated, though serum phosphorus levels are. Secondary hyperparathyroidism as a consequence of chronic renal failure may be present, and parathyroidectomy may be helpful in treatment. |
![]() |