
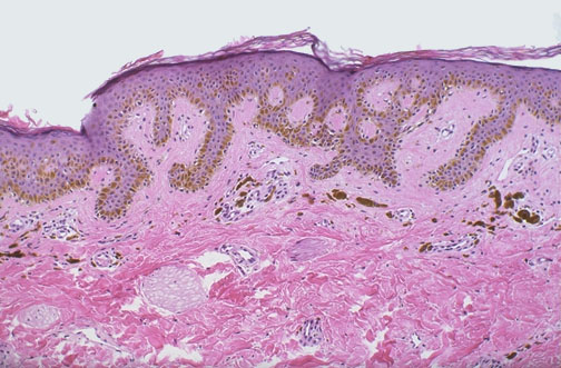
| This is the microscopic appearance of lentigo senilis, commonly known as an age or "liver" spot. The rete ridges are elongated and appear club-shaped or tortuous. Melanocytes are increased in the basal layer and melanophages appear in the upper dermis. |
![]() |