
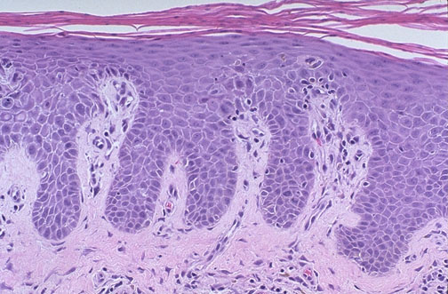
| Microscopically, psoriasis is characterized by downward elongation of the rete ridges with thinning of overlying stratum granulosum, with parakeratosis above this. Small aggregates of neutrophils with surrounding spongiform change are seen in the superficial epidermis. Capillaries within dermal papillae are brought close to the surface. |
![]() |